Prof. MUDr. Jan Štulík, CSc. Informace o léčbě onemocnění páteře
s garancí Prof. MUDr. Jana Štulíka, CSc.

Záněty páteře

Záněty páteře jsou vážná infekční onemocnění, která mohou působit silné bolesti, ztrátu neurologických funkcí i ohrožení života postiženého.



Kapitola 1.

Co je to vlastně spondylodiscitída?

Spondylodiscitida je odborný termín pro zánět který postihuje meziobratlové ploténky (discitida) a přilehlé obratle (spondylitída).

Páteř si jednoduše můžeme představit jako sloup, který drží naše tělo pohromadě.
Jednotlivé disky mezi obratli nám umožňují ohýbat se, otáčet a absorbovat nárazy. Když se do této oblasti dostane infekce, způsobí zánět, který může oslabit strukturu páteře, vést k bolesti, deformitám nebo dokonce k poškození nervů a míchy.

Nejčastěji je postižena lumbální (45–50 %) a thorakální (35 %) část páteře, méně cervikální (3–10 %).

Kapitola 2.

Příčiny

Spondylodiscitida je způsobena nejčastěji bakteriemi, které se dostanou do páteře. Nejčastějším viníkem je bakterie Staphylococcus aureus, která způsobuje až 50 % případů. Méně často to mohou být jiné bakterie jako Escherichia coli, Streptococcus nebo dokonce houby (např. Candida) a parazity. Ve světě je častá tuberkulózní forma, způsobená Mycobacterium tuberculosis, což je zvláště běžné v zemích s vyšším výskytem tuberkulózy, jako jsou oblasti Asie nebo Afriky. Vzhledem k zvýšené migraci obyvatelstva se s tuberkulózou páteře setkáváme už i v našich zeměpisných šířkách.

Jak se infekce dostane do páteře?

Hematogenní cesta (přes krevní oběh)

Bakterie z jiného místa v těle (například z močových cest, srdeční infekce jako endokarditida, zubního zákroku nebo kožní infekce) se dostanou do krve a usadí se v páteři. To je nejčastější způsob, zodpovědný za většinu případů.

Přímá kontaminace po operaci nebo úrazu

Pokud jste měli operaci páteře, epidurální injekci, biopsii nebo úraz s otevřenou ranou, může se infekce dostat přímo do oblasti.

Šíření z přilehlých tkání

Například z infekce v břiše (jako divertikulitida), plicích (pneumonie) nebo ledvinách, kde se zánět rozšíří do páteře.

Kdo je ohrožený?

Zdravý člověk je vůči infekci páteře chráněn přirozenými mechanizmy. Rizikové faktory které můžou způsobit rozvoj spondylodiscitidy zahrnují:

  • Diabetes mellitus – vysoký cukr v krvi oslabuje imunitu a usnadňuje infekce
  • Osoby s oslabenou imunitou, například po chemoterapii, s HIV/AIDS, na kortikosteroidech nebo po transplantaci orgánů.
  • Starší lidé nad 50 let (průměrný věk diagnózy je kolem 60 let) nebo děti do 6 let, kde je to častější kvůli imunologickým rozdílům.
  • Uživatelé intravenózních drog, pacienti s chronickými onemocněními jako selhání ledvin, jaterní cirhóza, malnutrice nebo rakovina.
  • Lidé po nedávných infekcích jinde v těle, jako je močová infekce nebo pneumonie, nebo ti z oblastí s vysokým výskytem tuberkulózy
  • Další faktory: Chronický alkoholismus, obezita, hemodialýza nebo nedávné spinální procedury/ operace

Jaké jsou příznaky a projevy infekcí páteře?

Symptomy spondylodiscitidy se objevují postupně a mohou trvat týdny až měsíce (obvykle 14–90 dní), což často vede k zpožděné diagnóze.

Nejvýraznějším příznakem je silná bolest zad (je popisovaná u více než 90 % pacientů). Tato bolest je často horší při pohybu, zatížení, palpací na oblast, někdy i při ležení, a pokud jsou postiženy i nervové struktury tak se může šířit do nohou nebo rukou.

Běžné příznaky zahrnují

  • Horečku vyskytuje se se pouze u 20-60% pacientů, často je teplota nízká nebo horečka zcela chybí (takže absence horečky ještě neznamená, že se nejedná o infekci)
  • Noční pocení, únava, ztráta chuti k jídlu, neúmyslné hubnutí a celkový pocit nemoci.
  • Neurologické deficity: (slabost, parestezie, hypestezie, paraparéza nebo paraplegie) postihují až 75 % případů v pokročilých stádiích. Jsou způsobené kompresí míchy nebo nervů abscesy.
  • U dětí se může projevit odmítáním chodit, držením se za záda, celkovou podrážděností, kulháním nebo odmítáním jíst; děti často nemají horečku.
  • Komplikace – absces v paravertebrálních tkáních, epidurálním prostoru nebo psoas svalu, což může vést k dalším symptomům jako bolest v břiše nebo nohách. Epidurální abscesy mohou vést k inkontinenci nebo poškození míchy (myelopatie)

 

Kapitola 3.

Stanovení diagnózy

Jak se záněty páteře vyšetřují a jak se stanoví diagnóza?

Diagnóza spondylodiscitidy není jednoduchá, protože příznaky mohou napodobovat jiné problémy jako obyčejnou degenerativní bolest zad, artritidu nebo nádory. Cílem je nejen potvrdit diagnózu, ale i identifikovat přesný patogen který spondylodiscitidu způsobil, aby léčba byla co nejefektivnější. Průměrná doba od prvních symptomů k diagnóze může v některých případech přesáhnout i několik týdnů. Lékař začne anamnézou – zeptá se na vaše symptomy, zkontroluje rizikové faktory, ověří nedávné infekce nebo procedury.

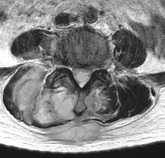
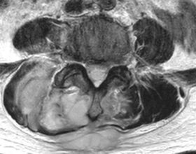
Rozsáhlý absces paravertebrálních svalů páteře zasahující do páteřního kanálu v bederní oblasti.

Testy

Krevní testy

Zvýšené hodnoty zánětlivých markerů jako C-reaktivní protein (CRP) nebo sedimentace erytrocytů (ESR), které jsou zvýšené u většiny pacientů. Nevyhnutné jsou taky krevní kultury (hemokultury) na identifikaci bakterie které se většinou odebíranou opakovaně

Zobrazovací metody

MRI s/ bez kontrastu je zlatým standardem – ukáže zánět, otok v okolí páteřního kanálu, abscesy a rozlišuje je od jiných onemocnění. RTG může ukázat zúžení disku nebo eroze kostí, ale jen v pozdějších stádiích (2+ týdny); CT je užitečné v pozdějších stadiích pro detekci kostních změn, kontrolu deformit nebo plánování biopsie.

Biopsie

Pokud z předešlých metod (hemokultur) není jasné, co způsobuje infekci, lékař může vzít vzorek tkáně z páteře na laboratorní vyšetření – kultivaci patogenu. Odběr může být perkutánní pod kontrolou CT nebo i v celkové anestezii s větší operační ránou – tzv. otevřená biopsie. Získaní materiálu k vyšetření je klíčové pro cílenou léčbu.

Kapitola 4.

Jak se záněty páteře léčí?

Léčba spondylodiscitíd je vždy multidisciplinární – nejčastěji se na léčbě podílí mikrobiolog, infekční lékař, radiolog a spondylochirurg. Základním cílem je eradikace infekce, stabilizace páteře a prevence recidiv. Při časné intervenci a správně nastavené léčbě je prognóza dobrá s minimální mortalitou pacienta.

Antimikrobiální terapie

Antibiotika představují základní pilíř léčby spondylodiscitidy s cílem eradikovat patogen, který infekci způsobil. Z důvodu prevence recidivy (návratu infekce páteře) je nutná dostatečně dlouhá doba léčby. V závislosti od závažnosti infekce se délka antibiotické terapie pohybuje od 6–12 týdnů. Léčba je rozdělena na empirickou (před identifikací patogenu) a cílenou (na základě mikrobiologických kultur a citlivosti). Primárně se terapie zahajuje intravenózní formou (IV) a v případě zlepšení stavu a dostupnosti správných přípravků je možno přejít na formu perorální. U závažných a rozsáhlých forem infekce je někdy nutné vytvořit kombinaci vícerých antibiotik, které se budou podávat současně (dvojkombinace, trojkombinace…). Během doby léčby je nutná monitorace – pravidelné kontroly zápalových ukazatelů, krevních kultur a případně i doplnění nových zobrazovacích vyšetření k zhodnocení odpovědi terapie.

Konzervativní opatření

Analgetická terapie, imobilizace páteře korzetem / límcem jako prevence vzniku deformit, odlehčovaní páteře při chůzi používáním vysokých podpažních berlí nebo vysokého chodítka, časná fyzioterapie jako prevence atrofie svalů

Operační možnosti

Operace u spondylodiscitíd je indikovaná přibližne u 20% případů. Cílem je debridement (vyčištění) infikované tkáně, získání materiálu pro mikrobiologickou analýzu, dekomprese spinálního kanálu, stabilizace páteře. Chirurgická intervence zlepšuje neurologický stav u 66–82 % postižených pacientů a vede k úplnému hojení u 87–94 % případů.

Indikace k operaci

  • Neurologický deficit (např. oslabení dolních končetin, nebo ztráta fu ) většinou vyžaduje urgentní dekompresi.
  • Přítomnost epidurálních nebo paravertebrálních abscesů do kterých antibiotika přenikají velice obtížně a můžou vést ke kompresi míchy nebo nervů
  • Instabilita páteře, deformita (např. kyfóza) nebo rozsáhlá destrukce vertebrálních těl
    Selhání konzervativní terapie (perzistující bolest, zvyšující se CRP, pokračující destrukce obratlů)
  • Sepse nebo systémová infekce která pacienta akutně ohrožuje na životě a nedá se zastavit jenom samotnou antibiotickou terapií
  • Potřeba biopsie pro identifikaci patogenu při nejasné etologii

Specifické techniky

Debridement a drenáž

Představuje odstranění nekrotické tkáně, hnisu a infikovaných disků. V některých pokročilých případech se přímo do rány na přechodnou dobu zavede proplachová laváž, která kontinuálně i po operaci čistí místo infekce.

Dekomprese

V případě že kolekce hnisu (absces) tlačí na nervové struktury je nutné absces vypustit a uvolnit míchu nebo přilehlé nervové kořeny. Dekomprese představuje operační techniku při které odstraňujeme část páteřních struktur (laminektomie / hemilaminektoomie) s cílem lokalizace a eradikace abscesových ložísk které ohrožují neurologické funkce pacienta.

Instrumentace, rekonstrukce a fúze

Zadní (většinou transpedikulární šrouby a tyče) nebo přední fixace (krční dlahy) pro okamžitou stabilizaci, umožňují brzkou mobilizaci pacienta, prevenci vzniku deformity a celkově se tak urychluje proces vyhojení napadnutého intervertebrálního prostoru. V případě rozsáhlé destrukce obratlů volíme delší a komplikovanější stabilizace v kombinaci s použitím kostních štěpů s eventuální fúzí postižených etáží.

Prof. MUDr. Jan Štulík, CSc. s garancí Prof. MUDr. Jana Štulíka, CSc.

Úvodem Manifestace Diagnostika Léčba


Přednosta Kliniky spondylochirurgie 1. LF a FN Motol

Spoluzakladatel české spondylochirurgie jako samostatného medicínského oboru. Profesorem v oboru ortopedie od roku 2010.

Od roku 2016 přednosta Kliniky spondylochirurgie 1. lékařské fakulty Univerzity Karlovy a Fakultní nemocnice v Motole.

Autor řady odborných publikací a několika unikátních operačních postupů. Pacienty byl vyhlášen lékařem roku 2017.